Tổng hợp 20 cách chữa viêm lợi trùm có mủ tại nhà
Viêm lợi là bệnh khá phổ biến trong các loại bệnh liên quan đến răng miệng do mảng bám chứa vi khuẩn trên răng gây kích ứng dẫn đến viêm.
Người mắc bệnh luôn cảm thấy khó chịu do đau, sưng má, nổi hạch đặc biệt cảm thiếu tự tin trong giao tiếp do chân răng dễ chảy máu và hôi miệng. Để chữa viêm, sưng lợi tận gốc trước tiên cần tìm ra nguyên nhân và lựa chọn phương pháp điều trị hiệu quả mà đảm bảo an toàn.
1. Viêm lợi là gì, vì sao lại bị viêm lợi?
Viêm lợi là tình trạng các mảng bám trên răng lâu ngày gây kích ứng, làm sưng, hở chân răng và viêm vùng mô mềm ở nướu lợi. Nếu không chữa trị sớm có thể dẫn tới chảy máu chân răng, gãy rụng răng.
Cần chữa trị sớm để tránh dẫn đến tình trạng lợi loét hoại tử cấp một dạng nghiêm trọng của bệnh.
Một số bệnh viêm lợi thường gặp:
1.1 Viêm lợi trùm
Viêm lợi trùm là hiện tượng phần lợi phía trong cùng bao phủ lên răng khôn, ngăn không cho răng không mọc. Từ đó gây sưng vùng lợi và là nơi vi khuẩn trú ngụ gây viêm và sưng lợi và ảnh hưởng đến răng bên cạnh.
1.2 Viêm lợi có mủ
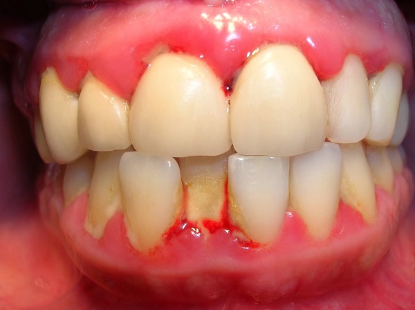
Đây là tình trạng bị nhiễm trùng ở phần mô của nướu và hình thành ổ mủ. Dấu hiệu của giai đoạn bệnh nặng là khi phần nướu quanh răng bị sưng phồng, chân răng có mủ chảy ra, và đánh răng bị chảy máu.
Nếu không chữa trị sớm có thể biến chứng gây ra viêm, u lợi phì đại.
1.3 Viêm lợi phì đại
Viêm, u lợi phì đại là hiện tượng bệnh bị biến chứng gây sưng nề, tăng kích thước lợi và trở nên phì đại đi kèm các vấn đề như ổ mủ, hôi miệng, đau nhức…

Hình ảnh u lợi phì đại
2. Nguyên nhân gây viêm lợi
2.1 Vệ sinh răng miệng không thường xuyên
Vệ sinh răng miệng là rất quan trọng để có một hàm răng chắc khỏe. Đa số các bệnh liên quan đến răng miệng đều bắt nguồn từ việc vệ sinh không sạch và thường xuyên.
Các mảng bám trên răng không được làm sạch là cơ hội để các loại vi khuẩn tấn công, sản sinh ra enzym phá hủy sự liên kết giữa các biểu mô dẫn đến vấn đề về lợi.
2.2 Sử dụng thuốc lá, rượu bia, chế độ dinh dưỡng thiếu khoa học
Rượu, bia, thuốc lá, đồ ngọt, đồ ăn quá nóng hoặc quá lạnh là tác nhân chính hình thành nên các mảng bám trên răng. Điều này tạo điều kiện cho các loại vi khuẩn phát triển và tấn công răng miệng.
2.3 Sử dụng thức ăn quá mềm thường xuyên
Khi thường xuyên ăn thức ăn quá mềm sẽ khiến răng của bạn lười hoạt động, cấu trúc bảo vệ răng yếu đi từ đó dễ mắc các bệnh răng miệng.
2.4 Tác dụng phụ của một số loại thuốc
Việc sử dụng một số loại thuốc như thuốc chống trầm cảm, thuốc cảm lạnh… có tác dụng giảm tiết nước bọt gây ra khô miệng. Khi nước bọt không được tiết ra, mảng bám và cao răng dễ dàng tích tụ và lan rộng.
Một số nguyên nhân khác gây ra vấn đề về lợi như bệnh tiểu đường, sự thay đổi về hooc môn ở bà bầu khi mang thai.
Bệnh viêm, sưng lợi rất dễ phát hiện nhưng đa số mọi người thường bỏ qua và nghĩ rằng nó sẽ tự khỏi. Nhưng không, nếu không tìm ra phương pháp chữa trị kịp thời sẽ làm cho tình trạng bệnh nặng hơn, nghiêm trọng nhất có thể dẫn đến rụng răng.
Ngoài ra, những người sau khi nhổ răng, niềng răng, bọc răng sứ cũng có khả năng cao bị bệnh răng miệng nếu như đến các cơ sở y tế kém chất lượng.
Viêm lợi có chữa được không? bao lâu thì khỏi?
Viêm, sưng lợi hoàn toàn có thể chữa được nếu như phát hiện sớm cũng như uống đúng thuốc. Do đó bạn hoàn toàn không phải lo lắng.
Thông thường sẽ khỏi trong thời gian từ 3,5 cho tới 7 ngày nếu sử dụng đúng thuốc trị bệnh hoặc các biện pháp phù hợp. Sưng lợi thường khó có thể tự khỏi hoặc thời gian tự khỏi rất lâu và gây đau đớn, khó chịu trong thời gian dài.
3. Cách chữa trị viêm lợi tại nhà bằng thuốc kháng sinh
Viêm lợi phải làm sao? Chữa có khó không? Đây là những câu hỏi được mọi người quan tâm khi bị viêm và sưng lợi.
Có thể chữa bằng cả đông y, tây y, diện chẩn. Mục tiêu là kiểm soát được mức độ viêm nhiễm của lợi, hạn chế sự tiến triển của bệnh và tiêu diệt mầm mống gây bệnh. Vì vậy, các cách chữa đều phải tuân theo cơ chế này.
3.1 Các loại nước súc miệng kháng khuẩn
Hiện nay trên thị trường có rất nhiều loại nước súc miệng hỗ trợ việc vệ sinh răng miệng với các thành phần kháng khuẩn như Zin Gluconat, Chlorhexidin, Hexetidin…giúp loại bỏ mảng bám, vi khuẩn có trong miệng, góp phần làm sạch khoang miệng.
Đặc biệt hiệu quả có bài thuốc đặc trị răng miệng TRẦN KIM HUYỀN

Đây là sản phẩm hoàn toàn từ thảo mộc thiên nhiên , dùng được cho cả trẻ em , phụ nữ mang thai , phụ nữ sau sinh ,người lớn ….
– Nó có tác dụng làm sạch răng miệng , diệt trừ các bệnh như sâu răng , chảy máu chân răng , hôi miệng , nhiệt miệng ….
– Và đặc biệt 1 chai 500ml tái sử dụng 2 lần bằng cách hết nước cốt , đổ rượu vào ngâm 10 ngày và tiếp tục sử dụng .
gọi vào hotline 0326033xxx để tìm hiểu thêm thông tin về sản phẩm
3.2 Bôi kem trị viêm lợi Syndent Plus
Syndent-Plus được thoa trên vùng nướu răng bị bệnh 3 ngày lần. Liều lượng tùy thuộc vào từng bệnh nhân và tùy vào số tăng bệnh vi.
Tuy nhiên, sử dụng những loại nước súc miệng này chỉ có tác dụng hạn chế viêm nhiễm chứ không chữa tận gốc như mọi người lầm tưởng.
3.3 Uống thuốc kháng sinh trị viêm lợi
Trị viêm lợi uống thuốc gì? Dưới đây là một số loại thuốc tây có thể dùng để trị viêm lợi hiệu quả.
Macrolid, beta-lactam, Naphacogyl (thuốc viêm lợi màu hồng)… là nhóm thuốc khác sinh có công dụng diệt khuẩn trú ngụ trong các mảng bám và trong nướu chủ yếu được sử dụng chữa các bệnh về lợi, nướu.
Thuốc kháng viêm non-steroid, thuốc syndent giúp làm giảm sưng đỏ, đau, viêm vùng lợi. Tuy nhiên thuốc này khuyến cáo không dành cho người đã có tiền sử đau dạ dày.
Nhóm thuốc corticosteroid với tính kháng viêm vô cùng mạnh giúp làm giảm các triệu chứng đau, viêm, sưng lợi.
Khi bị sưng lợi, sử dụng thuốc kháng sinh là cách chữa mà mọi người nghĩ đến đầu tiên, bởi vì nó có tác dụng vô cùng mạnh giúp hạn chế sự tiến triển của bệnh.
Tuy nhiên, khi sử dụng thuốc kháng sinh để chữa viêm, sưng lợi cần chú trọng liều lượng, và hướng dẫn sử dụng nắm được trường hợp không được sử dụng thuốc.
![]()
Thuốc kháng sinh trị viêm lợi
Mặc dù có tác dụng chữa bệnh mạnh và nhanh, nhưng nếu người dùng lạm dụng thuốc kháng sinh sẽ dẫn đến nhờn thuốc và bệnh dễ lặp đi lặp lại không khỏi dứt điểm.
Ngoài ra, thuốc kháng sinh có rất nhiều tác dụng phụ và ảnh hưởng không tốt đến sức khỏe người bệnh nếu không sử dụng đúng liều lượng được bác sĩ chỉ định.
Ngoài lựa chọn sử dụng thuốc Tây y, người bệnh có thể sử dụng mẹo chữa viêm bằng dân gian an toàn và hiệu quả.
4. Cách chữa viêm lợi bằng dân gian tại nhà không cần dùng thuốc kháng sinh
4.1.Cách chữa viêm lợi bằng súc miệng nước muối
Nước muối có khả năng sát khuẩn tốt mà an toàn cho người sử dụng. Súc miệng bằng nước muối có tác dụng làm giảm cơn đau do sưng lợi gây ra.
Cách thực hiện: Hoàn 2 muỗng cà phê muối vào ly nước ấm dùng súc miệng 2 lần mỗi ngày đến khi cơn đau do thuyên giảm.
![]()
Nước muối
4.2 Cách chữa viêm lợi bằng Lá ổi
Sử dụng từ 3 – 5 lá ổi rửa sạch bằng nước muối sau đó nhai trực tiếp trong 5 phút rồi rửa sạch lại với nước. Tránh để vụn lá ổi còn sót lại ở khoang miệng.

4.3 Cách chữa viêm lợi bằng Tỏi tươi
Tỏi được coi là loại thực phẩm rất tốt cho cơ thể, ngoài ra trong tỏi có có các loại kháng sinh tự nhiên giúp diệt khuẩn rất hiệu quả. Vì vậy, sử dụng tỏi là cách chữa hiệu quả mà an toàn.
Cách thực hiện: Giã nhuyễn vài tép tỏi với một ít muối, sau đó thoa hỗn hợp này lên vùng lợi bị viêm. Bạn sẽ thấy tiến triển rõ rệt sau vài lần thực hiện.
![]()
Tỏi tươi trị viêm lợi
4.4 Cách chữa viêm lợi bằng Túi trà lọc
Túi trà lọc đã qua sử dụng có chứa một lượng axit Tannic tác dụng giảm sưng lợi, sâu răng khá hiệt quả.
Cách thực hiện: Ngâm túi trà vào nước sôi rồi vớt ra để nguội. Sau đó để túi trà đã nguội lên vùng lợi bị viêm khoảng 5 phút rồi lấy ra. Đây là phương pháp chữa bệnh tại nhà rất hiệu quả.
![]()
Túi trà lọc
4.5 Cách chữa viêm lợi bằng Lá trầu không
Lá trầu không là một loại thực vật quá đỗi quen thuộc và cũng được sử dụng phổ biến trong các bài thuốc chữa bệnh dân gian, đặc biệt lá trầu không có tác dụng rất tốt chữa các bệnh liên quan đến răng miệng.
Cách thực hiện: Chọn lá trầu không không quá già và không quá non, được hái vào khoảng 5h sáng. Sau đó pha với nước nóng tương tự như pha nước chè với liều lượng 3 lá cho 150ml nước. Dùng nước đã pha súc miệng 2-3 lần mỗi ngày, bạn sẽ thấy cơn đau thuyên giảm sau vài ngày thực hiện.
![]()
Lá trầu không
4.6 Cách chữa viêm lợi bằng Mật ong
Bôi trực tiếp mật ong lên phần lợi bị viêm để sát khuẩn. Sau đó, pha mật ong với với chanh cùng nước ấm dùng để súc miệng để đạt hiệu quả cao nhất.

4.7 Cách chữa viêm lợi bằng Gừng tươi
Theo nghiên cứu cho thấy trong gừng có chất men zingibain có tác dụng như một loại thuốc giảm đau tự nhiên. Vì vậy, gừng trở thành loại “thuốc” chữa viêm, sưng lợi hiệu quả.
Cách thực hiện: Sử dụng một nắm nhỏ gừng tươi sắc với nước để uống mỗi ngày. Mỗi ngày uống nước gừng này 2-3 lần mỗi ngày đến khi thấy lợi hết sưng đau thì có thể dùng. Chú ý nên pha loãng để tránh cho cơ thể bị nóng.
![]()
Gừng tươi
4.8 Cách chữa viêm lợi bằng Lá lốt
Trong trong lá lốt chứa tinh dầu có tác dụng tiêu viêm, giảm đau rất hiệu quả.
Cách thực hiện: Đun hoặc giã một nắm lá lốt với một lít nước, thêm một chút muối. Sau khi để nguội gạn lấy nước dùng súc miệng trong ngày, mỗi lần súc miệng khoảng 4-5 phút rồi nhổ đi. Cứ thực hiện lặp đi lặp lại nhiều lần như thế, cơn đau nhức sẽ giảm hẳn.
![]()
Lá lốt
Chữa bệnh bằng dân gian phù hợp cho ai muốn chữa tại nhà, hoặc thuộc đối tượng không sử dụng được thuốc kháng sinh. Bởi vì các phương pháp này đơn giản, lại rất an toàn cho người sử dụng.
4.9 Cách chữa viêm lợi bằng Lá bàng non
Theo Đông Y, lá bàng với tính kháng khuẩn cao, có khả năng loại bỏ các vi khuẩn có hại đối với răng lợi. Do đó, việc sử dụng lá bàng là một trong những cách chữa viêm lợi bằng dân gian được nhiều người lựa chọn khi muốn chữa trị căn bệnh khó chịu này tại nhà.
Lá bàng là nguyên liệu dễ tìm kiếm, được nhiều người sử dụng để chữa trị viêm lợi hiệu quả
Nguyên liệu cần chuẩn bị:
+ Lá bàng non;
+ Muối tinh;
+ Vải lọc;
+ Nước lọc;
Cách thực hiện
Trước tiên là khâu sơ chế, lá bàng khi hái xuống cần đem đi rửa sạch, để ráo nước hoặc phơi khô một nắng.
Tiếp theo, đun sôi nước, sau đó cho thêm một ít muối tinh và phần lá bàng đã chuẩn bị trước đó vào nồi. Vặn lửa nhỏ và đun sôi trong khoảng 30 – 60 phút thì tắt bếp. Để nguội.
Lọc phần riêng bã lá và nước đun bằng một tấm vải sạch. Giữ lại phần nước đun trong bình có nắp, để trong ngăn mát tủ lạnh để dùng dần và tránh sự xâm nhập của vi khuẩn.
Cách sử dụng
Sau khi vệ sinh răng miệng, sử dụng nước lá bàng súc miệng lại trong vòng 7 – 10 phút. Để bài thuốc chữa viêm lợi này đạt được hiệu quả tốt nhất, nên dùng hàng ngày, sau khi thức dậy vào buổi sáng và buổi tối trước khi đi ngủ.
Lưu ý: Sau 7 ngày, nếu lượng nước còn thì không nên sử dụng. Hãy nấu lại phần nước mới để tăng tính hiệu quả của bài thuốc.
4.10 Cách chữa viêm lợi bằng lá đinh hương
Nhắc đến công dụng của lá đinh hương, không thể không nói đến khả năng chống oxy hóa tốt, kháng khuẩn cao, ngăn ngừa quá trình hình thành các mảng bám tại răng, giảm đau và viêm cho lợi. Chính vì vậy, cách chữa viêm lợi bằng đinh hương được đánh giá là cách làm hiệu quả, dễ thực hiện và tiết kiệm chi phí trong điều trị.
Lá đinh hương là phương pháp điều trị viêm lợi đem lại hiệu quả bất ngờ đối với người bệnh
Bôi trực tiếp lên vùng viêm lợi
Lá đinh hương rửa sạch, để ráo nước. Giã nát bằng cối hoặc cho vào máy xay sinh tố để lấy nước cốt. Lọc và loại bỏ phần bã.
Dùng bông gòn sạch thấm phần nước cốt lá đinh hương thu được, sau đó chấm trực tiếp vào vùng bị viêm lợi tại khoang miệng. Sau khoảng 2 – 3 phút thì dùng nước sạch để súc lại. Nên sử dụng dung dịch này khoảng 2 lần/ngày.
Với cách làm này, bạn sẽ nhận thấy tình trạng viêm lợi được cải thiện một cách rõ rệt chỉ sau một thời gian sử dụng.
Súc miệng với nước lá đinh hương
Đừng quên bỏ túi cách chữa viêm lợi bằng dân gian khi súc miệng với lá đinh hương vô cùng hiệu quả với công thức dưới đây.
Lá đinh hương rửa sạch, đem đun sôi cùng với nước sạch từ 7 – 10 phút để phần tinh dầu trong lá tiết ra hoàn toàn.
Phần nước đun được dùng để súc miệng hàng ngày sau khi đánh răng. Khi sử dụng, bạn nên dùng đầu lưỡi đảo đều quanh miệng nhằm dễ dàng lấy đi các mảng bám và vi khuẩn còn sót lại sau khi đánh.
Nước lá đinh hương có thể bảo quản được trong tủ lạnh từ 1 – 2 ngày. Do đó, bạn nên sắc đun lấy nước mới để đảm bảo đạt được kết quả sử dụng là tốt nhất.
4.11 Cách chữa viêm lợi bằng Lá xô thơm
Lá xô thơm được biết đến là loại thảo dược thiên nhiên đem đến nhiều lợi ích khác nhau đối với sức khỏe con người. Trong đó, công dụng của loại lá này trong việc chữa trị bệnh viêm lợi là không thể phủ nhận bởi khả năng kháng khuẩn, giảm viêm nướu, điều trị nhiễm trùng,…
Súc miệng với lá xô thơm
Lá xô thơm mang đi rửa sạch với nước, phơi khô.
Sử dụng một nắm lượng lá khoảng 30g đun sôi cùng 500ml nước sạch trong 10 phút.
Phần nước thu được sau đun nên cho vào trong chai. Để trong ngăn mát tủ lạnh dùng dần.
Thực hiện súc miệng với nước lá xô thơm sau khi vệ sinh răng miệng. Nên thực hiện từ 2 – 3 lần/ngày.
Vì việc súc miệng với lá xô thơm là cách chữa viêm lợi bằng dân gian, do đó, nên kiên trì thực hiện liên tục để thu được kết quả như mong đợi.
Dùng trà lá xô thơm
Thay vì súc miệng bằng lá xô thơm, bạn cũng có thể pha trà xô thơm để điều trị viêm lợi. Không có công thức đặc biệt, lá xô thơm khô được pha như cách loại trà thông thường với nước sôi. Nước trà được dùng 2 lần/ngày, bạn có thể hoàn toàn yên tâm khi sử dụng vì nước trà là an toàn và không gây bất cứ ảnh hưởng gì tới sức khỏe người dùng.
Lá xô thơm có tác dụng hiệu quả trong việc giảm thiểu tình trạng viêm lợi, viêm nướu tại khoang miệng
4.12 Cách chữa viêm lợi bằng Rượu hạt cau
Có rất nhiều cách chữa viêm lợi bằng các mẹo dân gian khác nhau được ông bà ta truyền tai lại. Trong đó, chữa viêm lợi bằng rượu hạt cau là một trong những phương pháp không thể không kể đến.
Nguyên liệu
+ Cau khô hoặc cau tươi;
+ Rượu trắng;
Thực hiện
- Cau tươi: Cau bổ dọc, tách riêng lấy phần hạt. Cho hạt cau vào bình thủy tinh, ngâm với rượu trắng theo tỷ lệ 1:3. Tức là 1kg hạt thì ngâm với 3 lít rượu. Đậy kín bình, để nơi thoáng gió, tránh tiếp xúc trực tiếp với ánh sáng mặt trời. Sau 30 ngày ngâm là có thể sử dụng.
- Cau khô: Phần hạt cau sau khi được tách ra mang phơi khô thêm một nắng. Sau đó, đảo qua trên chảo nóng khoảng 3 – 5 phút, để nguội. Phần hạt cau được ngâm trong bình theo tỷ lệ 1kg hạt cùng 8 lít rượu trắng. Rượu có thể sử dụng sau 40 ngày ngâm.
Cách dùng
Sau khi tiến hành vệ sinh răng miệng, tiến hành súc sạch miệng lại với một lý rượu hạt cau trong 15 phút. Nên thực hiện từ 2 – 3 lần/ngày. Tuy nhiên, vì rượu cau khá cay và nồng, nếu bạn không quen, nên ngậm thành từng ngụm nhỏ hoặc pha loãng với một chút nước sạch trước khi sử dụng.
Từ 5 – 7 ngày sử dụng, bạn có thể cảm nhận được sự thay đổi tình trạng viêm lợi, cũng như giảm thiểu được sự khó triệu mà bệnh lý này gây ra.
Nên sử dụng rượu hạt cau thường xuyên để nhận thấy hiệu quả rõ rệt trong việc điều trị viêm lợi
5. Cách chữa viêm lợi tại nhà tận gốc với Thảo mộc đặc trị răng miệng Trần Kim Huyền
Sử dụng các bài thuốc dân gian chữa viêm lợi không phải lúc nào cũng khỏi được bệnh. Đây chỉ là cách tiêu viêm, giảm những ảnh hưởng do viêm, sưng lợi gây ra chứ không có tác dụng chữa tận gốc.
Vậy liệu có cách nào chữa triệt để viêm, sưng lợi, an toàn cho mọi đối tượng sử dụng không?
“Có chứ”, đây là câu trả lời chúng tôi muốn gửi đến bạn. Thảo mộc đặc trị răng trị răng miệng Trần Kim Huyền chính là giải pháp đáp ứng yêu cầu chữa bệnh triệt để, không tái phát lần 2 mà vẫn đảm bảo an toàn, phù hợp cho mọi đối tượng sử dụng. Tại sao Thảo mộc đặc trị răng trị răng miệng Trần Kim Huyền lại có công dụng hoàn hảo đến vậy?
+ Thảo mộc đặc trị răng trị răng miệng Trần Kim Huyền – giải pháp hoàn hảo chữa viêm lợi bằng thuốc nam một cách an toàn, nhanh chóng
Thảo mộc đặc trị răng trị răng miệng Trần Kim Huyền có được công dụng chữa sưng lợi hoàn hảo như vậy bắt nguồn từ nguyên liệu để tạo ra loại dung dịch này.
Khác với những loại dung dịch súc miệng phổ biến trên thị trường hay những mẹo chữa dân gian, Thảo mộc đặc trị răng trị răng miệng Trần Kim Huyền là bài thuốc quý của người Dao chuyên chữa trị các bệnh răng miệng.
Thảo mộc đặc trị răng trị răng miệng Trần Kim Huyền được tạo ra bằng cách ngâm cây thảo dược mọc trên dãy núi Yên Tử (Người dân vùng này gọi là cây sâu răng) với rượu trắng. Sau 15 ngày, sẽ tạo ra một loại dung dịch có hoạt chất khử khuẩn, kháng viêm cực kỳ mạnh mẽ có thể chữa hiệu quả ngay cả với người bị mãn tính.

Chỉ cần súc miệng bằng Thảo mộc đặc trị răng trị răng miệng Trần Kim Huyền ngày 2-3 lần, mỗi lần 10ml, sau khoảng 2-5 ngày, toàn bộ mảng bám, vi khuẩn gây bệnh… sẽ bị hoạt chất khử khuẩn, kháng viêm cực mạnh có trong dung dịch thảo dược tiêu diệt. Phần lợi bị viêm nhanh chóng trở lại bình thường, trả lại hàm răng chắc khỏe.
Đặc biệt, do được tinh chế hoàn toàn từ thảo dược quý nên Thảo mộc đặc trị răng trị răng miệng Trần Kim Huyền vô cùng an toàn, lành tính, không có tác dụng phụ phù hợp với mọi đối tượng sử dụng. Bà bầu, phụ nữ đang cho con bú, hay thậm chí trẻ em đều có thể sử dụng dụng dịch này mà không lo ảnh hưởng đến sức khỏe. Hơn nữa giá thành còn rất rẻ so với sử dụng các loại thuốc Tây.
Để đảm bảo tiện lợi cho người sử dụng, Thảo mộc đặc trị răng trị răng miệng Trần Kim Huyền được nghiên cứu sản xuất dưới dạng dung dịch đóng chai. Do đó, người bệnh hoàn toàn có thể sử dụng được mọi lúc mọi nơi mà không cần phải thực hiện các công đoạn phức tạp.
6. Viêm lợi nên ăn gì? kiêng ăn gì?
Ngoài việc sử dụng thuốc, bạn cũng cần có một chế độ ăn uống sinh hoạt hợp lý, sẽ giúp việc điều trị viêm lợi nhanh khỏi hơn.
6.1 Bị viêm lợi nên ăn gì?
Thực phẩm chứa nhiều chất xơ: Thực phẩm chứa nhiều chất sơ sẽ giúp làm sạch mảng bám và giúp nước bọt tiết ra nhiều hơn khắc phục chứng không miệng.
Ngoài ra, các bạn nên uống trà hàng ngày. Vì trong trà có chứa polyphenols có khả năng khám viêm, diệt khuẩn trú ngụ trong mảng bám cao răng.
6.2 Viêm lợi kiêng ăn gì?
Nên kiêng các đồ ăn chứa nhiều tinh bột, đường là thủ phạm gây ra các mảng bám. Tránh xa các chất kích thích như rượu, bia, thuốc lá và các thực phẩm làm khô miệng. Không ăn các đồ ăn cứng, quá nóng, quá lạnh và các loại thịt quá dai, có sợi dài.
Viêm lợi có ăn được thịt gà không?
Nên hạn chế ăn các đồ ăn có tính nóng như thịt gà, xôi, các loại bánh nếp. Thịt gà vừa có tính nóng có khả năng là lợi sưng to hơn, còn có thể dính vào răng gây khó chịu và khó vệ sinh.
Trên đây là tổng hợp toàn bộ các cách chữa viêm lợi bằng dân gian, bằng thuốc kháng sinh và các lưu ý về chế độ sinh hoạt ăn uống để bệnh nhanh khỏi nhất. Nếu bạn bị viêm lợi hay các vấn đề về răng miệng. Đừng quên gọi ngay đến số 0326033xxx đặt ngay 1 chai Thảo mộc đặc trị răng trị răng miệng Trần Kim Huyền với giá 250,000đ nhé.



